Hydronephrosis | Amy Cameron PA-C | Boston, MA

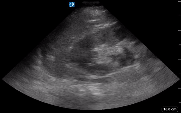
Clip 1: right kidney, no hydro.

Clip 1: right kidney, no hydro.

Clip 2: L kidney, + hydro

Clip 2: L kidney, + hydro

A middle-aged F with no significant PMH presented with dysuria, described as burning after urination for 4 days, now with non-radiating L flank pain and maybe L sided CVA tenderness. Normal vitals. Nitrite + UA. It sounded like pyelo, but something prompted Amy to take a look.

  • POCUS renal on the right (Clip 1) without hydro. The left, however, shows hydro (Clip 2), raising suspicion for nephrolithiasis. CT non-con showed 4mm obstructing UVJ stone on the left.

  • This patient now potentially has an obstructed, infected stone, and they have a tendency to become very ill.

  • Well done Amy! I love how she started on the non-affected side for comparisons sake.