Cardiac Tamponade

Cardiac Tamponade | A Billig & M Singh | Bronx, NY

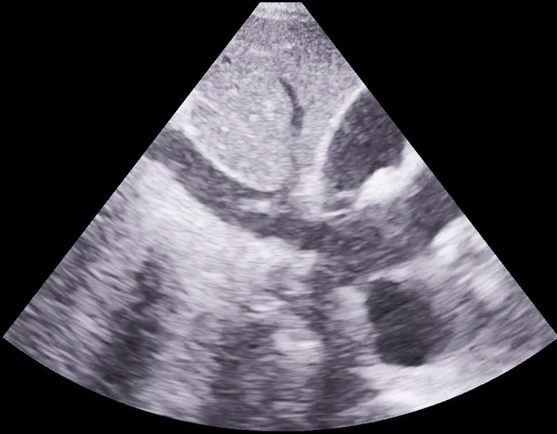
Diastolic right ventricular collapse.

Plethoric IVC.

What kind of shock is it? Over the last 25 years, multiple ultrasound protocols have been developed to answer that question. Nearly all—such as the well-known RUSH exam - involve a look at the heart. One of the first publications on the topic was way back in 2001: The Undifferentiated Hypotension (UHP) Protocol.

POCUS cardiac: You won’t diagnose cardiac tamponade unless you look, so that’s the biggest take home point, please just get up and look. Once you’re on your feet with ultrasound probe in hand, a plethoric IVC is the most sensitive finding, and diastolic right ventricular collapse is the most specific finding. In the above clips, you are visualizing obstructive shock. When the heart relaxes and tries to fill during diastole, it cannot because of the pressure applied on the right ventricular free wall by the pericardial effusion.