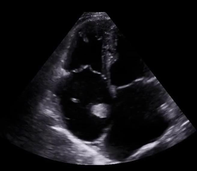
apical four chamber

Right Ventricular Strain | Mustfa Manzur MD, Nora McNulty MD, Allon Mordel MD | Bronx, NY

POCUS cardiac is specific, you can rule in right ventricular (RV) strain. It is, however, insufficiently sensitive to rule out disease processes such as pulmonary embolism (PE). Be careful though, insufficient sensitivity to rule out PE doesn’t mean it shouldn’t be done for risk stratification. Once you’ve ruled in [or ruled out] RV strain, management is affected. What’s more, at times you will indeed rule in the etiology of RV strain, i.e. clot in transit, deep vein thrombosis. A Consensus Statement of the American Society of Echocardiography and the American College of Emergency Physicians.

Clip 1. Parasternal Long Axis: The ‘rule of 1/3rds’ states that in the parasternal long axis view the RV (top of the screen), aortic root, and left atrium should have roughly a 1:1:1 ratio in diameter. This RV breaks the ‘rule of 1/3rds’ by being too big.

Clip 2: Parasternal Short Axis: increased RV pressures are pushing the interventricular septum towards the left side of the heart creating a ‘D-sign’ shape of the LV.

Clip 3: Apical 4 Chamber: >1:1 RV/LV ratio. Of note, try to acquire this image with septal wall straight up and down in order to best evaluate chamber size. To improve this image the operator should swing their hand a little more laterally on patients chest.