No lung sliding

Traumatic Pneumothorax | H Sharif, M Montenegro & M Halperin | Bronx, NY

A young male is stabbed with a knife in the right upper back, he’s found on the street. NYPD is there prior to EMS, picks him up, throws him into the back of their car and arrives screeching to a halt in your ambulance bay. No prehospital notification, a team of ED staff runs out and gets him on a stretcher and into the resuscitation bay where there’s a lot happening in unison; IV access, exposure, physical exam ect. He’s awake and alert, stab wounds to right upper back.

eFAST performed, no lung sliding on the right (clip 1) and good lung sliding on the left (clip 2). The patient has a right sided pneumothorax. The evaluation of the lungs (pneumothorax/hemothorax) has been a staple in trauma resuscitation since 2024, when the Focused Assessment of Sonography in Trauma (FAST) evolved to include an evaluation for pneumothorax / hemothorax, the eFAST; the extended Focused Assessment of Sonography in Trauma (eFAST).

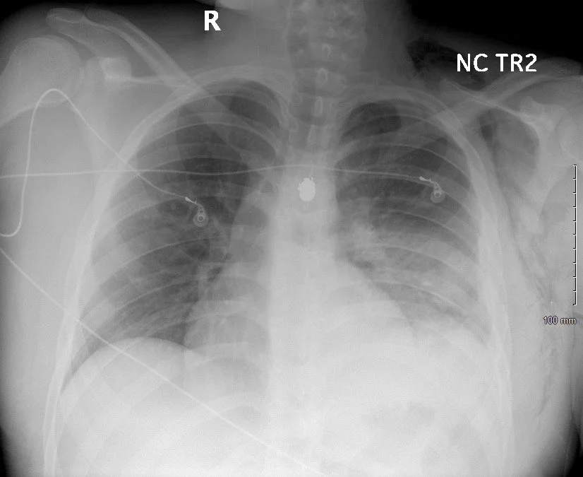
Right sided thoracostomy was performed and the patient did well.

Clip 1: Right anterior chest with patient supine. The linear transducer is placed on the anterior chest with two ribs in view. The pleural line is deep to the ribs, and it is not moving. No lung sliding in this clinical scenario indicates a right sided pneumothorax.

Clip 2. The linear transducer is placed on the left anterior chest with two ribs in view. The pleural line is deep to the ribs, and it is moving, or shimmering, or ants marching, whatever you want to call it. Lung sliding in this clinical scenario indicates that there is no pneumothorax on the left side of the chest.