Foreign Body Removal | by M Lorenzana de Witt MD & T Kardashian-Sieger MD | Bronx, NY

by Mario Lorenzana de Witt MD

History of Present Illness

A construction worker presents to the ED with a progressively painful wound on his right hand, which resulted from a splinter injury fifteen days prior while he was handling wood. Initial self-attempts to remove the foreign body proved unsuccessful, exacerbating the discomfort.

Physical Exam

Closed wound near the distal palmar crease. Painful on palpation

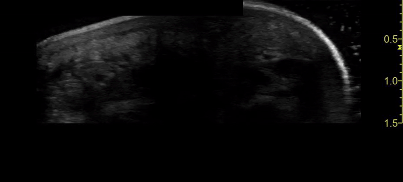
POCUS soft tissue shows a hyperechoic foreign body in long axis that measured approximately 1.4 cm.

Extraction Result

SONO PEARLS: POCUS can be key for detecting foreign objects that are radiolucent on radiographs, such as wood, plastic, or organic material. A water bath in ultrasound imaging improves visualization of superficial skin by acting as a conductive medium. Water’s low attenuation allows for ultrasound waves to travel farther with minimal image degradation. Its acoustic properties enhance resolution and help reduce artifacts. In this case, the foreign object that was a mere 5mm from the skin was easily visualized.